Woodbridge Dental Veneers
Get the perfect smile in 1, 2, 3
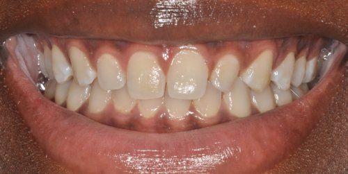
Get a jaw-opening smile with a simple fix
Dreaming of a flawless smile? Our Woodbridge dental veneers are the perfect solution to perfect your teeth and boost your confidence. With Dr. Lotfi’s expert care, you’ll achieve the smile you’ve always wanted. Plus, enjoy a free veneers consultation to explore your options and see how veneers can transform your look!
See our smile gallery here:




The perks of veneers
- NAchieve a flawless smile
- NNatural-looking results
- NStain-resistant surface
- NDurable and long-lasting
- NCustom-fit for your teeth
Porcelain Veneers Perfection
Our porcelain veneers provide a beautiful, natural-looking enhancement for your teeth, offering durability and a stain-resistant finish.
Digital Smile Preview
See a digital preview of your new smile with veneers before committing, ensuring you’re thrilled with the results.
No-Prep Veneers
Experience the convenience of no-prep veneers, which require minimal preparation and offer a quick, painless way to transform your smile.
Veneers Test Drive
Try out your new smile with temporary veneers, allowing you to experience the transformation before getting your custom veneers.
Veneers at Woodbridge Comfort Dental Care
Free Consultations
Discover the perfect veneers for your smile with our complimentary consultations. Our expert team will guide you through the process, helping you choose the best options for your needs.
- NPersonalized consultations
- NExpert guidance
- NTailored treatment plans
Trusted Lab Partnerships
We work with a trusted lab to create your custom Woodbridge dental veneers, ensuring the highest quality and precision for your new smile.
- NHigh-quality materials
- NPrecise craftsmanship
- NReliable and trusted partners
People Are Talking.
See what our patients and your community are saying about us
Dr. Lotfi and his team are so kind and truly invested in your care. I always feel taken care of and treated as more than ‘just another patient’. His team is very skilled and always professional. I highly recommend it to anyone looking for a caring and talented dentist
— Nicole N.
April, 2024 - From Google
Everyone is great, honestly! I’ve not had one bad experience. They live up to their name because they definitely make you feel comfortable! Best dentist office I’ve ever been to by far.
— Tyla H.
April, 2024 - From Google
I had been trying to find a new dentist where I could be confident in the recommendations provided by the doctors. Safe to say…I found my spot.
— Aziz K.
June, 2024 - From Google
Clear costs, no surprises
At Woodbridge Comfort Dental Care, we believe in clear, upfront pricing. We provide detailed cost estimates so you know exactly what to expect. Your trust matters to us, and we’re here to make everything clear and straightforward.
Budget-Conscious Care
We’re in-network with most PPO insurances and accept multiple payment options. Plus, our in-office discount plan helps you save more while keeping your smile bright and healthy.
Come see us for a free veneer consultation! Book your appointment today.
Patient Testimonials
Visit us in Woodbridge
14605 Potomac Branch Dr.
Suite 120
Woodbridge, VA 22191
Get Directions
Monday, Tuesday, Wednesday 8am-7pm
Thursday, Friday 8am-4pm
Saturday: 9am-2pm (1st and 3rd)
Sunday: Closed
Smile like everyone’s watching
Let us pamper your smile.
Your Questions Answered
What are dental veneers?
Veneers are thin shells made of porcelain or composite resin that cover the front surface of your teeth to improve their appearance. They are custom-made to match your natural teeth, providing a seamless and beautiful smile.
How long do veneers last?
With proper care, they can last 10-15 years or even longer. Regular dental check-ups and good oral hygiene practices are essential to maintaining the longevity of your veneers.
Are veneers right for me?
Veneers are a great option for patients looking to improve the appearance of their teeth. Our expert team will evaluate your smile and help you determine if this treatment is the right choice for you.
How do I care for my veneers?
Caring for your veneers is simple. Brush and floss regularly, avoid biting on hard objects, and visit your dentist for routine check-ups to keep them in top condition.
What’s the process like?
The process typically involves two visits. During the first visit, your teeth are prepared, and impressions are taken. Temporary veneers are placed while your custom veneers are made. On the second visit, the final veneers are fitted and bonded to your teeth.